患者,女性,59岁,已婚。
01.主诉
阴道不规则出血3余年,加重40余天。
既往月经规律,7/30天,量中,痛经(-),LMP:不详。3余年前出现阴道不规则出血,经期延长至10余天,未重视,未行任何诊治。40余天前无明显诱因出现阴道不规则出血,量同月经量,伴有腹痛、腹坠等不适,就诊于当地医院行诊刮术,病理回报:(宫腔)子宫内膜增殖症(子宫内膜复杂性增生)伴非典型增生,局部不除外癌变。患者为求进一步诊治就诊于我院门诊,建议住院手术治疗。患者无发热,无明显腹坠腹痛,大小便无异常改变,门诊遂以“子宫内膜恶性肿瘤”收入我科。
患者自发病以来,一般情况可,精神、睡眠、饮食可,二便正常,体重无明显增减。
既往高血压8+年,血压最高达180/100mmHg,口服苯磺酸氨氯地平1片/日,血压控制在120/80mmHg左右,否认冠心病、糖尿病等病史,否认结核、肝炎等传染病史,否认外伤、手术及输血史,否认药物、食物及其他过敏史,预防接种史不详,系统回顾无特殊。
04.个人史
无特殊。
23岁结婚,1女1子健康情况良好,配偶健康情况良好。
14岁初潮,(7)天/(30)天,LMP不详,既往月经规律,经期、经量正常,无痛经史,白带正常。
生育史:2-0-0-2。顺产2次。
父母健在。家族中无肝炎、结核、性病等传染疾病。无家族性遗传性疾病病史。
T:36.4℃,P:73次/分,R:20次/分,BP:150/82mmHg,全身查体无特殊。
腹部检查:腹平坦,未见胃肠型及蠕动波,全腹软,无压痛,无肌紧张及反跳痛,全腹叩鼓音,移动性浊音阴性,肠鸣音正常存在。
妇科检查:已婚经产型外阴,阴道通畅,粘膜光滑,可见少量陈旧性积血,宫颈正常大小,表面光滑,无触血,子宫形态饱满,质中,轻压痛,活动可,双侧附件区未触及明显异常。
直肠指检:盆底无触及结节,直肠粘膜光滑,指套无染血。
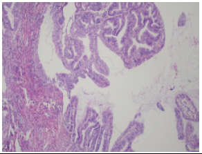
诊刮病理:(宫腔)子宫内膜增殖症(子宫内膜复杂性增生)伴非典型增生,局部不除外癌变。
1.子宫内膜癌?
2.异常子宫出血。
3.高血压3级(很高危)。
盆腔增强核磁:
1.考虑子宫内膜占位性病变,请结合病理检查;
2.宫颈多发小囊肿;
3.宫腔少量积液;
4.盆腔积液。

肺部CT:
1.右肺下叶前底段胸膜下少许可疑磨玻璃影,随诊;
2.冠状动脉壁钙化;
3.甲状腺左叶钙化灶;
4.肝脏囊肿可能。
全腹部增强CT:
1.肝脏多发囊肿;
2.盆腔少量积液;
3.子宫强化不均,子宫内膜不均匀增厚,建议结合MRI观察。
肿瘤标记物:
癌抗原12577.69 U/mL;糖类抗原19971.59 U/mL。血:甲胎蛋白1.35 ng/ml;人附睾蛋白4111.10 pmol/L;绝经前罗马指数37.36%;绝经后罗马指数49.88%。
(子宫内膜)子宫内膜复杂性增生,伴不典型增生,局灶癌变。
腹腔镜全子宫+双侧附件切除+盆腔淋巴结清扫术。
(全子宫+双附件,双侧盆腔淋巴结,腹主动脉旁淋巴结,腹水)中高分化子宫内膜样腺癌,浸润深度<1/2肌壁,大小5.2cm*4.5cm*1.6cm;癌累及子宫峡部粘膜;未见脉管及神经侵犯;左右宫旁及阴道断端阴性;慢性宫颈炎;双侧输卵管黏膜慢性炎;双侧卵巢未见著变;淋巴结未见癌转移(左盆腔0-6,右盆腔0-10,腹主动脉旁0-2);腹腔冲洗液刷片未见瘤细胞。
免疫组化:
ER(强阳,60%),Ki67(+10%),P53(野生型),PR(中阳,8%),PD-L1(CPS<;1,E1L3),P16(+),Vimentin(+),Pax-8(灶+),MLH1(+),MSH2(+),MSH6(+),PMS2(+),WT-1(-)。

子宫内膜癌采用FIGO手术病理分期,淋巴结状态是分期的一个重要指标。全面的分期手术包括盆腔和腹主动脉旁淋巴结切除术,有利于对患者进行精确的预后评估,淋巴结阴性患者的预后远比淋巴结阳性患者的预后好。如果淋巴结有转移,切除了阳性淋巴结可改善预后。明确淋巴结状态也有利于指导确定后续治疗方案。NCCN指南比较强调对子宫内膜癌患者行全面分期手术,至少切除盆腔淋巴结。FIGO指南则提出可以“选择性”切除腹膜后淋巴结。
随着研究的深入和资料的积累,发现早期子宫内膜癌患者淋巴结转移率较低,不切除淋巴结也不影响生存率。如根据美国Mayo诊所19329例分析,符合以下条件者:①肿瘤侵犯肌层小于1/2;②肿瘤直径小于2cm;③组织分级为G1和G2,其淋巴转移风险仅为1.4%。因侵犯肌层深度在术中难以准确判断,去除肌层浸润这个因素,符合上述①③两个条件者其淋巴转移风险为2.4%。对于这些低危淋巴转移者,特别是高龄、合并全身疾病如糖尿病、高血压、心脏病等患者,切除淋巴结的治疗价值并不大,仅仅因为分期的需要而使患者承受手术的风险和术后并发症是否合理和必要,是近年来争论不休的问题。
Mayo诊所的另一项前瞻性研究评估了514例子宫内膜样腺癌另外三项淋巴结转移危险因素(即:G3、肌层浸润深度≥1/2、肿瘤大小>2cm)与盆腔、腹主动脉旁淋巴结转移的关系,当存在这些危险因素时,盆腔、腹主动脉旁淋巴结转移率分别为17%和12%,有盆腔淋巴结转移的患者中51%存在腹主动脉旁淋巴结转移,无盆腔淋巴结转移的患者中仅3%存在腹主动脉旁淋巴结转移。该结果提示我们,同时存在上述三项危险因素的患者,应该行盆腔和腹主动脉旁淋巴结切除术。目前比较流行的前哨淋巴结切除也给临床治疗提供了一个新的方向及思路。
特殊病理类型子宫内膜癌浆液性腺癌、透明细胞癌和癌肉瘤容易发生转移且复发率高、预后差,多数学者认为需同时行盆腔和腹主动脉旁淋巴结切除术。
综合指南和文献,对于子宫内膜癌患者,淋巴结切除需“个体化”处理以避免过度治疗,仅供临床参考:
切除任何增大淋巴结:无论是术前影像学提示淋巴结增大还是术中探查发现淋巴结增大,这些增大的淋巴结均需切除。
无淋巴结增大和无如下3项高危因素者,若无手术禁忌和技术限制,最好还是行全面的分期手术,至少切除盆腔淋巴结。
有下列因素者需同时行盆腔和腹主动脉旁淋巴结切除术:①深肌层浸润;②组织分化G3;③浆液性腺癌、透明细胞腺癌或癌肉瘤。同时对于肿瘤直径大于2cm者行盆腔淋巴结切除多无异议,是否需要切除腹主动脉旁淋巴结仍有争议,但国内外大多数意见支持不切除腹主动脉旁淋巴结。
符合下列条件,手术风险较高者可考虑不切除淋巴结:①肿瘤侵犯肌层小于1/2;②肿瘤直径小于2cm;③组织分化G1和G2。若术后病理与术前、术中判断不符,需根据术后病理确定是否需要补充放疗或/和化疗。
